复旦中山厦门医院超声科与复旦大学附属中山医院超声科一脉相承,依托于复旦中山厦门医院国家区域医疗中心的平台,以一切为了病人为出发点,在王文平主任带领下、袁海霞执行副主任实际管理下,于2017.8月正式建科,从无到有,短短几年间,完成了科室筹建及发展工作。目前科室主任为国家杰出青年科学基金获得者徐辉雄教授,科室执行副主任为陆清教授,科内有厦门编制医生14人,其中主任医师1人,主治医师7人,住院医师6人。
厦门医院超声科目前开设高级专家门诊、专家门诊、主治门诊及专病门诊三级门诊服务,阶梯化为患者提供高水平、规范化的诊查服务,其中专病门诊包含:介入超声评估门诊、超声卵泡监测专病门诊、甲乳超声专病门诊、囊肿抽液治疗门诊、肿瘤消融评估专病门诊等。厦门医院超声科以建设成省市一流学科为目标,目前亚专科分组设有:腹盆腔超声组、妇产超声组、浅表器官超声组、血管超声组及超声介入组等5个专业组。科室在承担干部保健及健康体检工作的同时,也积极参与临床科室多学科会诊工作,并积极开展介入超声、超声造影、弹性成像、肌骨超声等超声新技术,也开展了甲状腺、乳腺结节的消融治疗及子宫肌瘤消融治疗等项目,近5年已完成超声造影近9000例,各项超声介入近7000例。
初心如磐,笃行致远。在徐辉雄教授、陆清执行副主任的带领下,科室在扩展对外交流的同时,也积极修炼内功,科室以打造医教研一体化发展的国家重点专科为远期奋斗目标、以省市重点专科为近期目标,砥砺前行,不忘初心。
科研方面,复旦中山厦门医院超声科的科研与教育水平在以徐辉雄主任、王文平主任、陆清执行副主任、袁海霞执行副主任为核心的科研团队的带领下,从无到有,硕果累累,从2017年8月开始至2024年12月,已成功结题或在研2项福建省自然科学基金面上项目、1项福建省卫生健康科研人才项目、3项厦门市科技计划指导性项目及3项复旦大学附属中山医院厦门医院孵化课题,并累计发表15篇SCI、发表23篇中文核心期刊文章,并于2019年6月成功举办首届沪闽超声研讨会、2024年10月举办肝脏疾病超声新进展、2024年12月举办介入超声新进展等继续教育学习班,现阶段还参与厦门市影像医学临床重点专科的建设及国家肝癌规范诊疗试点单位建设。
科室人才建设方面,徐辉雄教授任职中华医学会超声医学分会委员、上海市医学会超声专科分会候任主任委员、中华医学会超声医学分会浅表组织和血管超声学组副组长,陆清执行副主任任职厦门市医师学会中西医结合超声分会副主任委员,在他们的带领下,为了培养厦门本地医疗人才,科室鼓励在职员工积极提升自我技能,自科室成立以来共有5名住院医师就读复旦大学在职研究生,1名研究生进入上海总部专科医师规范化培训并就读复旦大学博士研究生。在技能水平培养的同时,科室也重视人文素养的提高,在新冠疫情期间,科室积极协调科内人员参加防疫相关工作。科室亦承担着促进厦门本地医疗卫生水平提升的使命,不仅积极派出高年资主治医师至厦门本地基层进行医疗服务,而且很好完成基层医生的进修带教工作等。
道阻且长,行则将至,行而不辍,未来可期。复旦中山厦门医院超声科将在鹭岛这个美丽的海滨城市里“山外有山,传承星灿”,继续秉承一切为了病人的中山精神,为闽南地区及国内外患者提供更加优质的医疗服务。
 
 
图1 中山厦门超声介入新进展学习班
 
 
图2 复旦中山厦门医院超声科全体医生合影
科室特色:超声造影检查
 
 
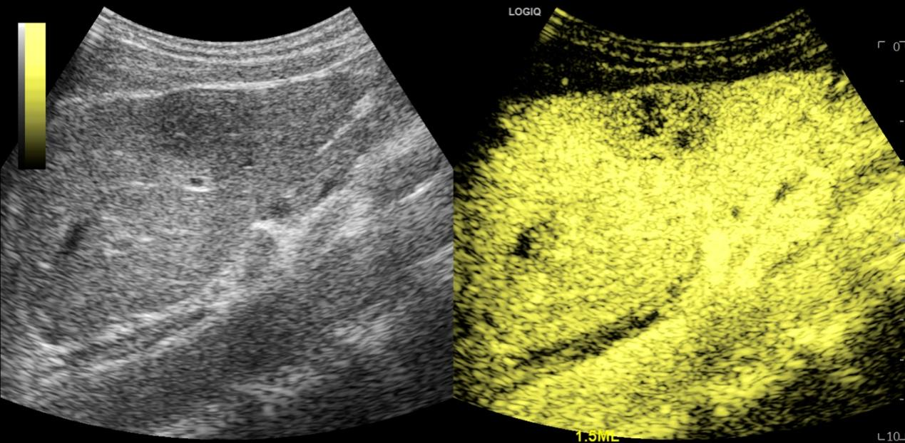
图3 肝脏肿瘤超声造影图像
超声造影是近几年来超声领域蓬勃发展的诊断新技术之一,在欧洲、美国和日本,对其临床应用价值做了大量的研究,证实超声造影的诊断能力不逊于CT和MRI,并为其规范使用制定了应用指南。
我院本部(复旦中山医院超声科)是国内最早开展肝脏疾病超声造影研究和应用的部门之一,近十年来做了大量的肝脏超声造影的临床研究,同时在胆胰肾、甲状腺和乳腺等方面也做了一定的研究,积累了丰富的临床经验,在国内外的学术期刊上发表近百篇相关论文,申请获得数十个国家级及上海市科研基金项目,成果获得国家级、上海市等多项科技奖。超声造影诊断肝脏局灶性病变准确性高,其应用价值被临床医生肯定,已常规应用于临床以明确病情。
科室特色:超声引导下介入操作
 
 
图4 介入超声操作
介入超声是指在超声影像实时引导下,主要依靠穿刺针、导丝和导管,用经皮穿刺抽吸、活检和引流等微创技术实现对疾病的诊断和治疗目的。主要优点是实时监护、无放射损伤、操作重复性强。目前介入超声的主要临床应用有:1.经皮抽吸及活检术;2.经皮穿刺插管引流和灌注术;3.经皮穿刺局部注射术;4.肿瘤微波消融治疗。
科室特色:囊肿抽液硬化治疗
 
 
图5 囊肿抽液硬化治疗示意图
囊肿抽液硬化治疗技术是一种微创诊疗手段。在超声等影像引导下,精准定位囊肿,将穿刺针经皮刺入囊腔,先抽出其中的囊液,以减轻囊肿占位效应,缓解患者的压迫症状。随后,向囊腔内注入硬化剂,如无水乙醇、聚桂醇等,破坏囊肿内皮细胞,使其失去分泌功能,进而防止囊肿复发。
该技术适用于肝囊肿、肾囊肿、卵巢囊肿等多种脏器囊肿,具有创伤小、恢复快、操作简便、可重复性强等优势,能有效改善患者生活质量,缩短住院时间,减少医疗成本。
科室特色:肿瘤消融治疗技术
 
 
图6 甲状腺结节热消融技术示意图
肿瘤热消融治疗技术是一种微创肿瘤治疗方法,通过将消融针穿刺到肿瘤部位,利用射频、微波等产生的热效应使肿瘤组织升温,导致肿瘤细胞蛋白质变性、细胞膜破坏,从而达到杀灭肿瘤细胞的目的。该技术具有创伤小、恢复快、并发症少等优点,适用于早期、较小的肿瘤,尤其对于无法耐受手术或拒绝手术的患者是一种较好的选择。
科室大事记:
2017.08.20 超声科建科
2017.08.21 开展首例超声检查
2017.11.15 首次开设专家门诊
2018.03.01 发表首篇署名厦门医院超声科文章
2018.05.04 开展首例超声造影检查
2018.05.04 首次开设高级专家门诊
2018.10.09 开展首例超声介入检查
2019.06.01-2019.06.02 举办首届沪闽超声新技术临床应用研讨会
2019.07.03 开展首例超声弹性检查
2021.08.12 首次开设介入超声评估门诊
2022.06.06 首次开设超声卵泡监测专病门诊
2022.11.01 首次开设甲乳超声专病门诊
2024.3.27 首次开设囊肿抽液治疗门诊
2024.7.31 首次开设肿瘤消融评估专病门诊
2024.10.19-2024.10.20 举办肝脏疾病超声诊疗新进展学习班
2024.12.22 举办中山厦门超声介入新进展学习班