10月13日,国际知名心外科专家——王春生名医工作室核心成员魏来副教授主刀,在麻醉科郭克芳副主任医师、丁明副主任医师、心超室董丽莉副主任医师、赵维鹏副主任医师、放射科杨雪主治医师等心脏团队成员的密切协作下,成功为一名年近七旬的高危复发性重度二尖瓣反流患者实施了经导管二尖瓣置换术(TMVR)。值得一提的是,这是全国范围内首例在二尖瓣成形环中成功实施的TMVR,也是福建省首例经导管二尖瓣置换术TMVR,而国内前3例TMVR于今年上半年在上海总部复旦大学附属中山医院成功开展。本次手术的成功实施亦标志着我院跻身国内经导管二尖瓣置换术TMVR研究领域的第一方阵。
  
老年患者换瓣后再复发
手术难度较大
  
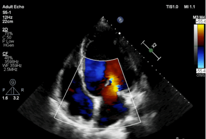
▲ 术前心超显示:患者重度二尖瓣反流
68岁的王大爷,7年前因主动脉瓣重度反流、二尖瓣重度反流做了主动脉瓣置换和二尖瓣成形术。然而,近年来王大爷二尖瓣反流复发并逐年加重,药物治疗效果很差。当他前往医院求诊时,心衰症状已十分严重。心超检查提示:患者左心室显著扩大为舒张末内径86mm,收缩末内径73mm,超过正常人一倍,而反映心肌收缩力的重要指标EF值则降低为30%,仅为正常人的一半。这意味着,患者的心脏明显扩大至正常人的两倍,心脏功能极差,随时可能诱发心脏衰竭导致死亡。
以往遇到这类病人,外科医生多只能无奈拒绝。因为如实施常规开胸手术,患者将面临巨大风险:一方面,患者心功能极度恶化,可能难以耐受体外循环打击而无法下台;另一方面,患者属二次手术,粘连和解剖无层次等问题,无疑使术中每一步操作变得困难重重,手术难度剧增。我院王春生名医工作室专家团队凭借高超的技术破解这两大难题,让复杂高危手术微创化,使患者重燃“生的希望”。
4厘米微小切口
关键操作耗时仅10分钟
根据患者的特殊情况,王春生教授带领团队成员魏来、夏利民、徐德民、宋凯等心外科专家反复讨论研究,经医学伦理委员会批准,决定为患者实施TMVR微创手术。
“该患者情况特殊,此次手术需在其7年前植入的人工瓣环中再植入一个瓣膜,不确定性和风险均大于常规TMVR手术,全世界也仅少数高水平心脏中心进行过少数尝试。”魏来副教授介绍。为保证手术顺利开展,我院医务部主任徐德民亲自坐镇,统筹协调上海总部和厦门医院心外科、麻醉科、体外循环、心超诊断科、重症医学科、护理部等各路精兵强将,为手术做好准备。我院心外科团队经过术前CT和心超等精确测量和评估,辅以心脏3D打印模拟,为患者选择了最佳瓣膜型号和植入角度。
  
▲ 术前CT:测量患者二尖瓣环以精确选择人工瓣膜型号
  
▲ 魏来副教授(前排左2)带领心外科团队开展手术
10月13日,手术在我院杂交手术室开展。术中无需正中开胸、无需体外循环、无需心脏停跳,魏来副教授通过患者左侧肋间约4cm微小切口实施操作,关键操作仅耗时10分钟,人工瓣膜释放位置完美,与原有二尖瓣人工瓣环固定牢靠,术毕二尖瓣反流立刻消失,无瓣周漏、无冠脉压迫、无左室流出道梗阻。术后第一天,患者王大爷(化名)状态良好已拔除气管插管。
  
▲ 患者点赞我院,与心外科、ICU等部分医护人员合影。
王春生名医工作室
提升厦门乃至福建心外诊治水平
此次全国首例经导管二尖瓣“环中瓣”置换术在我院成功开展得益于王春生名医工作室。复旦大学附属中山医院心外科为国家临床重点专科、国家重点学科,在现任主任王春生教授的带领下,曾创造了十余项“国内第一”,是中国最顶尖的心脏外科中心之一。至今,王春生教授已带领团队,成功开展了2000余例微创心脏瓣膜手术,2000余例主动脉手术,400余例心脏移植手术,手术效果达到国际先进水平。
作为由上海总部复旦大学附属中山医院全运营、同质化管理的复旦中山厦门医院,已拥有国内先进的心血管复合手术室,为开展各种介入微创瓣膜手术创造了最佳条件。自王春生名医工作室成立以来,我院心外科在王春生教授及其专家团队成员的指导和助力下,依托总部心外科的传统优势,已陆续开展了近两百例高难度心脏外科手术,在医教研等方面带动和提升厦门、福建心外诊治水平,致力打造成区域心外疑难重症诊疗中心,让厦门、福建,乃至沿海一带患者在“家门口”就能享受到“原汁原味”的“复旦中山”诊疗服务。